
How we make sleeping malaria parasites change colour
If you get malaria, it's a life sentence, people often say.

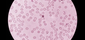
Alternatives to animal testing: an important breakthrough in malaria research
Research into the most commonly occurring and difficult to treat strain of malaria, vivax malaria, is possible using the human form of the parasite only under extremely limited circumstances.